Bác sĩ BV Tai Mũi Họng TP Cần Thơ phẫu thuật thành công cho bệnh nhân nuốt vướng vỏ tôm gây áp xe động mạch cảnh. Trường hợp này khiến bệnh nhân đau đớn, nhưng sau phẫu thuật, sức khỏe đã được phục hồi hoàn toàn.
Bác sĩ Bệnh viện Tai Mũi Họng Cần Thơ phẫu thuật thành công cho bệnh nhân bị áp xe do đầu vỏ tôm đâm vào động mạch cảnh
Các bác sĩ tại Bệnh viện Tai Mũi Họng TP Cần Thơ vừa thực hiện ca phẫu thuật thành công cho một bệnh nhân 49 tuổi đến từ tỉnh Bạc Liêu. Bệnh nhân này bị áp xe do đầu vỏ tôm đâm vào động mạch cảnh, gây ra tình trạng sưng, nóng, đỏ và đau ở vùng cổ bên trái.
Trước đó, bệnh nhân đã đến khám tại BV Đa khoa tỉnh Bạc Liêu sau khi bị nuốt nghẹn và vướng đầu vỏ tôm khi ăn mì với tôm luộc. Tuy nhiên, sau khi uống thuốc, tình trạng đau của bệnh nhân không giảm, và vùng cổ bên trái càng sưng to. Do đó, bệnh nhân đã được chuyển đến BV Tai Mũi Họng TP Cần Thơ để tiếp tục điều trị.
Chẩn đoán và phẫu thuật thành công
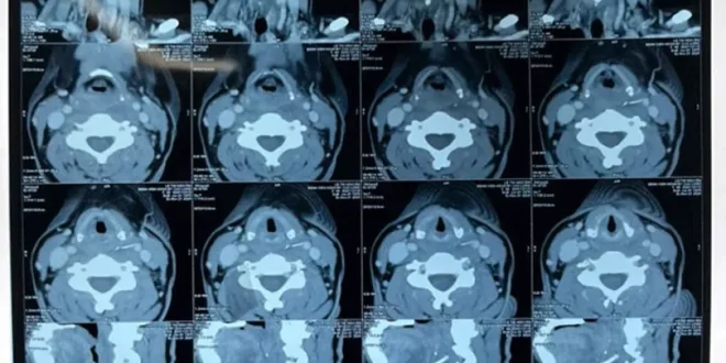
Sau khi thăm khám và tiến hành các xét nghiệm cận lâm sàng, bác sĩ tại BV Tai Mũi Họng TP Cần Thơ đã chẩn đoán rằng trong khoang họng của bệnh nhân có dị vật đâm vào động mạch cảnh chung, gây ra tình trạng áp xe.
Sau khi hội chẩn, ê-kíp bác sĩ đã quyết định tiến hành phẫu thuật. Ca mổ đã được thực hiện thành công, bác sĩ đã lấy ra dị vật là thanh cứng đầu vỏ tôm dài khoảng 2,5cm từ vùng hạ họng của bệnh nhân. Đồng thời, họ cũng đảm bảo rằng không có biến chứng nào xảy ra sau ca phẫu thuật.
Khuyến cáo từ bác sĩ
BS CKI Lê Minh Nhựt, Trưởng Khoa Tai – Đầu – Cổ – Tạo Hình Thẩm Mỹ tại BV Tai Mũi Họng TP Cần Thơ đã cảnh báo rằng tình trạng áp xe vùng cổ do dị vật là một vấn đề nguy hiểm có thể đe dọa tính mạng nếu không được điều trị kịp thời. Đây là một trường hợp mà bệnh nhân may mắn khi được phát hiện và phẫu thuật kịp thời.
Bác sĩ cũng khuyến nghị rằng khi gặp bất kỳ triệu chứng nào liên quan đến nuốt phải dị vật, sưng, đau hoặc vướng ở vùng cổ, người bệnh cần đến cơ sở y tế chuyên khoa tai mũi họng để được tư vấn và điều trị đúng cách. Điều này giúp ngăn ngừa các biến chứng nguy hiểm có thể xảy ra.
Nguồn thông tin được tham khảo từ: Báo Cần Thơ
Nội dung được biên tập bởi: yduoccantho. vn
